Dr Anahid Dolatyar
Orthodontiste à La Côte-Saint-André
 
Dr Anahid Dolatyar, orthodontiste à La Côte-Saint-André
04 81 43 03 21
18 Place Saint-André, 38260 La Côte-Saint-André

Bienvenue sur le site du Dr. DOLATYAR

Dr Anahid Dolatyar, Orthodontiste à La Côte-Saint-André

L’équipe du cabinet vous accompagne dans votre parcours de soins orthodontiques ou celui de votre enfant et met en œuvre tout son savoir-faire et ses compétences pour garantir le meilleur service.

Vidéos 3D - Page 2

Traitement orthodontique - appareil autoligaturant en céramique

Le quad helix : traitement du palais et de l’alignement des dents

Gouttières invisibles (avec taquets)

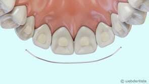
Fil de contention

Les urgences orthodontiques

Nettoyage des brackets avec brossette interdentaire

Traitement multi-attaches

Les élastiques de classes ii et iii

Traitement orthodontique esthétique par gouttières

Appareil multi-attache en céramique

Appareil multi-attache lingual

Le dispositif de carrière

Affichage des articles 13-24 sur 24

Catégories

Création par Webdentiste

Connexion